Implantodontia

Sobre o tratamento
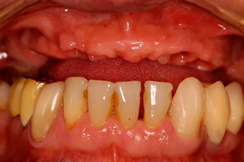
A Implantodontia é a especialidade da Odontologia que tem como finalidade a reposição de dentes perdidos por meio da fixação cirúrgica de implantes de titânio osseointegráveis e posterior confecção de próteses suportadas ou retidas nesses implantes.
A Implantodontia vem revolucionando a Odontologia moderna, uma vez que proporciona inúmeras alternativas reabilitadoras para pacientes total ou parcialmente desdentados.
A Clínica está totalmente capacitada para os seguintes procedimentos:
- Instalação de implantes unitários e múltiplos;
- Enxertos ósseos e regeneração tecidual guiada;
- Cirurgia de enxerto com levantamento da membrana do seio maxilar;
- Carga imedita;
- Enxertos gengivais e toda a parte protética relacionada aos implantes.
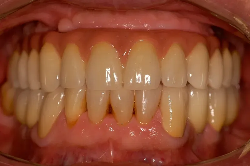
Toda a filosofia do tratamento com implantes osseointegrados baseia-se na ciência atualizada, em um protocolo consagrado e confiável.
Atualmente, a Clínica utiliza apenas implantes Straumann SLActive, fabricados na Suíça, cuja documentação científica internacional assegura tranquilidade e previsibilidade.
Em junho de 2016, recebemos, juntamente com um seleto e pequeno grupo de profissionais, os primeiros implantes puros de cerâmica do Brasil, o Straumann Pure. São implantes de zircônia indicados para algumas áreas de alta demanda estética, ou para pacientes com restrições a metais.







