Reabilitação Oral

Sobre o tratamento
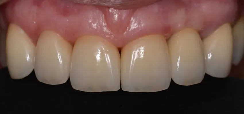
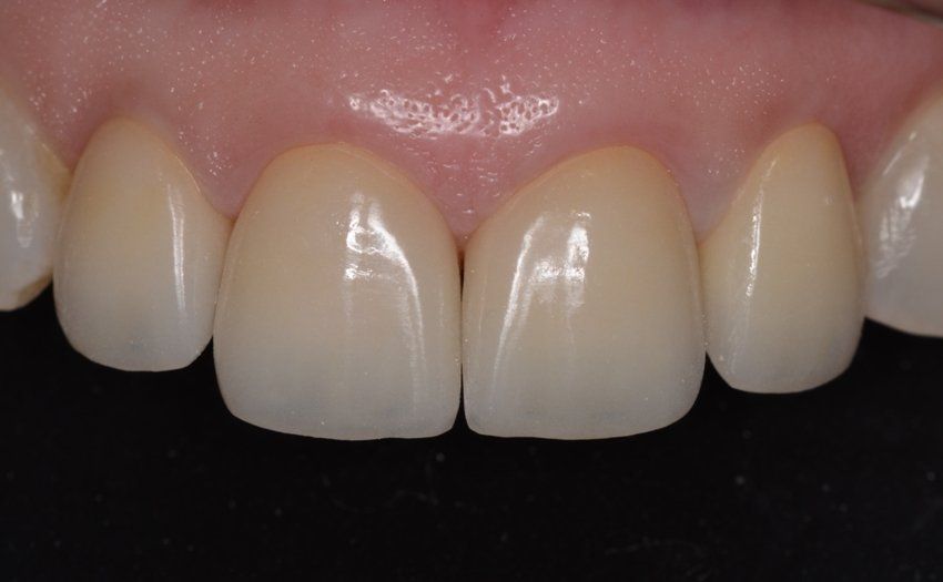
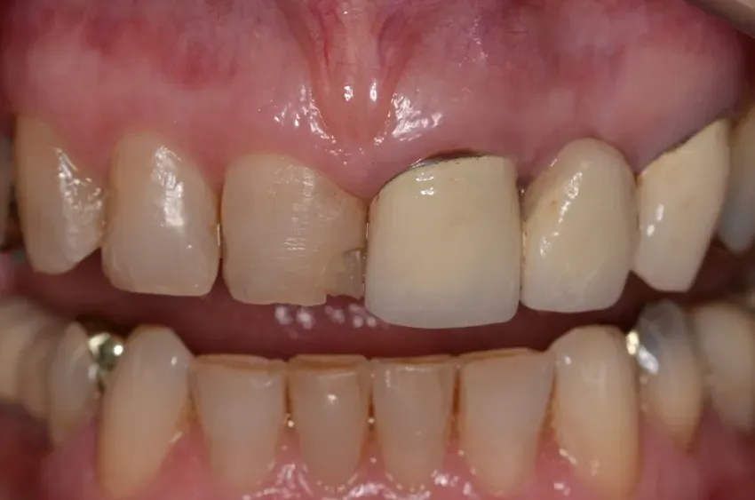
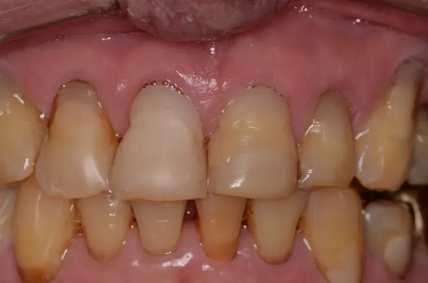
A Reabilitação Oral e a Odontologia Estética, apesar de não se tratarem de especialidades odontológicas, se integram dentro de uma filosofia reabilitadora baseada na ciência e multidisciplinaridade, mas também associada às exigências estéticas dos pacientes.
Com avanço de técnicas restauradoras conservadoras, aliadas ao desenvolvimento de novos materiais, a Odontologia cada vez mais pode responder às aspirações de quem busca saúde e harmonia buco-maxilo-facial. A partir de um planejamento integrado multidisciplinar, uma proposta de tratamento funcional e estético pode ser elaborada individualmente e de forma personalizada para cada paciente, respeitando seus anseios e particularidades .
Dentre as técnicas inseridas nessa filosofia disponíveis na Clínica, podemos citar:
- Planejamento digital
- Facetas e laminados minimamente invasivos de porcelana
- Reanatomização de dentes com resina composta
- Sistemas de próteses/coroas/restaurações de cerâmicas puras (e-max, Lava, Amann)
- Próteses e infraestruturas feitas por CAD-CAM
- Clareamento dental no consultório ou com moldeira
- Moldagem virtual com scanner intrabucal 3-D Trios 3Shape








